WHY children are having chronic enterocolitis and regressive development

The reason will shock you… ‌͏ ‌    ͏ ‌    ͏ ‌    ͏ ‌    ͏ ‌    ͏ ‌    ͏ ‌    ͏ ‌    ͏ ‌    ͏ ‌    ͏ ‌    ͏ ‌    ͏ ‌    ͏ ‌    ͏ ‌    ͏ ‌    ͏ ‌    ͏ ‌    ͏ ‌    ͏ ‌    ͏ ‌    ͏ ‌    ͏ ‌    ͏ ‌    ͏ ‌    ͏ ‌    ͏ ‌    ͏ ‌    ͏ ‌    ͏ ‌    ͏ ‌    ͏ ‌    ͏ ‌    ͏ ‌    ͏ ‌    ͏ ‌    ͏ ‌    ͏ ‌    ͏ ‌    ͏ ‌    ͏ ‌    ͏ ‌   

Enterocolitis is an inflammatory condition that affects your entire intestine.

It combines “enteritis,” which is an inflammation of the small intestine…

And “colitis,” which is an inflammation of the large intestine.

Now, inflammation in one of your intestines is common, but when it happens in both, it is VERY serious.

In adults, this is a condition that requires quick medical attention because of its potential for severe complications like dehydration, sepsis, and bowel perforation…

In infants and young children, enterocolitis can be even more concerning and life-threatening.

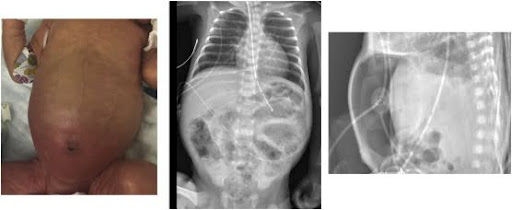
Image Source: Science Direct
The symptoms can vary but usually include diarrhea, abdominal pain, fever, swelling and irritability.

When children get this, since young children are more vulnerable to dehydration and complications, they REALLY need immediate attention.

I recently read a very touching article about 12 children who were developing normally…like all other children…

But suddenly developed chronic enterocolitis and regressive developmental disorder.

These young children unfortunately experienced loss of acquired skills…

Like language, and developed strange diarrhea and abdominal pain.

When the reason behind this was investigated…

Measles, mumps, and rubella v@ccination were the MAJOR culprits behind this terrible issue.

Histology showed patchy chronic inflammation in the colon in 11 children and reactive ileal lymphoid hyperplasia in seven, but no granulomas.

These children were previously normal, but because their parents innocently took them for childhood vaxxes as most parents are mostly pushed to…

These precious lives were put on the line and these children may never experience the joy of a normal childhood as they deserve to.

READ THE ARTICLE HERE

Seemingly, if we’re not very careful, we’re going to lose much more than we’ve ever thought possible…

Because the gvmt is taking their plans a step further, whether you like it or not.

The NY Assembly Bill A6761 is planning to strip parental rights!

Children of ANY age will be able to get surgery, medication, and even shots without parental consent.

THIS is beyond anything we’ve ever seen before. These people are out to break the family unit COMPLETELY.

Where it hurts me most is that they’re still masking their plan and are using the vulnerable as scapegoats…

Because apparently, this bill will only apply to homeless children, but we all know that is a BIG lie.

The law will apply to ALL children, of all ages, even babies.

The bill states:

Any person, including a minor, who comprehends the need for, the nature of, and the reasonably foreseeable risks and benefits involved in any contemplated medical, dental, health, and/or hospital services, and any alternatives thereto, may give effective consent to such services for themself, and the consent of no other person shall be necessary.”

How can a child ever understand the true gravity of their decisions and actions?

It’s ABSOLUTELY crazy!

This horrific bill openly allows minors under 16 to have access psychotropic drugs or psychotherapy without parental consent.

Psychotropic drugs include a number of pharmaceutical products…

Like medications for:

  • Depression
  • Anxiety
  • Sleep disorders
  • Schizophrenia
  • Bipolar disorder
  • And attention-deficit/hyperactivity disorder

With this bill, our children will be able to get family planning services like birth control, abortion, and sterilization…

And we won’t be able to stop them.

We NEED to stop this!

Already, some people have taken to social media to voice out their concerns…

And others are advocating for a petition against this madness.

Children’s Health Defense General Counsel Kim Mack Rosenberg said she’s seen more bills like this recently being introduced in other states, such as Vermont.

But…

“We [CHD] successfully stopped one in the District of Columbia and are fighting laws and regulations elsewhere…”

She said.

These are the kinds of things that we ALL have to stand up against, because one thing that I know for sure is that…

Those in power are always aiming for what we’re not seeing.

If they’re coming for our children in this way, it honestly means they’re weakening us from the bottom up…

And if we allow them to succeed in this wicked plan, then we must be prepared to lose everything!

READ THE FULL ARTICLE HERE

The grand plan can ONLY be to steal, kill and destroy!

That’s why Britain’s Office for National Statistics (ONS) has released data that shows that children who received the CVD-19 jabs…

Have suffered a death rate 54 times greater than that of their un-jabbed counterparts.

Can you imagine that?

This is the very reason the jabs are available to children as young as 12, and again, those children are allowed to receive the jabs against their parents’ wishes.

Image Source: LifeSite
The data show a clear increase in deaths among children who’ve gotten single-jabbed and those who got double-jabbed…

For children aged 15–19, the risk of death increases by almost double if they take the first shot and by over three times if they take the second.

For those who are 10–14-year-olds, there’s a high risk of dying almost by a factor of ten following the first dose…

While the second dose brings a 51.8 times greater risk of death than if they had remained un-jabbed.

The Expose’s article on this states that:

“These figures are horrifying. The ONS data shows that between 1st Jan and 31st Oct 21, children aged 10-14 were statistically 10 times more likely to die than unvaxxed children, and teenagers aged 15-19 were statistically 2 times more likely to die than unvaxxed teenagers.

But it’s the double vaxx figures that are truly frightening.

The ONS data shows that between 1st Jan and 31st Oct 21, teenagers aged 15-19 were statistically 3 times more likely to die than unvaxxed teenagers, but children aged 10-14 were statistically 52 times more likely to die than unvaxxed children, recording a death rate of 238.37 per 100,000 person years.”

This is there for you to see for yourself.

They’ve tried to hide these numbers for too long yet the article states that the numbers could be even higher than we’re being told.

This is why the powerful are out to gain control at all costs.

Their agenda to kill will not stop until they’re done.

That’s why WE need to spread healing and awareness to as many as we can.

READ THE ARTICLE HERE

These things are so crazy that a pro-vaxxer was recently left speechless as Dr. Peter Mccullough dropped the disturbing truth about the C0VID shots.

In fact, Dr. McCullough told podcaster Brian Shapiro, “You are wrong” to his face about the CVD-19 jabs…

With good reason because Shapiro had made this ignorant claim:

“You are… far less likely to get the effects of having to go into the ICU or possibly dying if you were vaxxed.

Am I wrong?”

And upon this question, Dr. McCullough went in with about 7 good reasons for why these jabs are a complete no no.

4 out of the 7 reasons were that:

  • “The prospective, randomized, double-blind, placebo-controlled clinical trials of the vaxx never showed a reduction in severity.”
  • “They never showed a reduction in hospitalization and death.”
  • “In a recent paper by Norman Fenton from the UK, he shown that there was tremendous misclassification bias.” This misclassification bias led to the false claim that 90% of people dying in the hospital were unvaxxed
  • “In countries that actually did have the vaxx status, like the UK, they found far more vaxxed in the hospital on ventilators and dying than the unvaxxed.”

After this Infowars reporter Kelen McBreen wrote…

“This is the type of conversation needed to awaken those who are still open to listening.”

And I couldn’t agree more!

Even though the truth is, we can only tell the TRUTH to those who aren’t expecting us to tell them that the lies they’ve believed for years are true…

That’s why I’m always commending you for your openness and sensitive to the happenings of the time, Melissa.

READ THE ARTICLE HERE

The only thing that gives me hope is knowing that even though MANY might wake up late to the fact that these so-called vaxxes can never and will never be good for us…

And more especially our children…

When they finally DO wake up, they may still have an opportunity to reverse some of the damage done to them.

Everyone can have an awakening just like Brian Shapiro did.

The truth is…

I don’t share these insights to scare you or anything. I am not a messenger of doom.

I bring a message of hope and light.

But it’s important for ALL of us to keep the awareness that SO many people are still in the dark and are suffering MASSIVELY…

Because of their ignorance or unbelief.

Your loved one could suffer these things simply because you haven’t shared the message with them.

Remember, there ARE protocols to help those who are already in trouble.

And if they don’t believe, just share Gloria Sharlein’s POWERFUL story with them because it has moved so many people out there and it still moves me.

Remember, Gloria had vaxx-related side effects, which began with minor symptoms after her first Pfizer shot in May 2021…

But escalated dramatically following her second dose.

Gloria experienced severe menstrual cycles, heart palpitations, high blood pressure, and a number of other debilitating effects.

Her condition got worse, which led her to double menstrual cycles each month accompanied by inflammation, tinnitus…

And intense pain across various parts of her body.

Desperate for relief and facing a medical system that offered no solutions

Gloria embarked on a personal research mission and when she did…

THIS happened:

“I did go home and I studied more. And then Jonathan came out with Absolute Healing series and I watched Absolute Healing series. And I study more on Dr. Buttar’s research and Dr. Edward Group’s research on urotherapy. And then I see Christopher Key drinking his urine in Absolute Healing series, and God was just pulling on me.

And then I had a day that in February, 2023 that my side effects were just so bad. The pulling on my neck that I was telling you about, my heart hurt so bad, I just knew that I had to do urotherapy. I knew that God wanted me to do urotherapy. And I started then, and within 3 weeks, I lost 18 pounds of toxins from my gut and all over my body. Within two months, a hundred percent of my CVD-19 vaxx side effects were gone.”

It still amazes me each time and it puts so much fire in my spirit because I live for such amazing miracles.

I wish EVERYONE could just believe the truth and stop leaning on all the lies and aimless promises.

True healing starts from within…

It’s right inside of you!

An NIH study even stated that…

“Animal experiments with urine in rat alveolar carcinoma and in mouse melanoma point to anticancer substance (A.C.S.)”

Right there, within your body, you may have an ignored golden wonder that has so many benefits for your health…

And may improve the symptoms of the worst disease you can ever imagine.

Cancer cells release a number of antigens, some of which appear in the urine.

So that’s why, according to ScienceDirect…

“Oral autourotherapy is suggested as a new treatment modality for cancer patients. It will provide the intestinal lymphatic system with the many tumor antigens against which antibodies may be produced. These antibodies may be pierced through the blood stream and attack the tumor and its cells.”

And this ties in with what the NIH said about how urine therapy may have some strong anticancer properties in it.

This may help MILLIONS of people who are developing early-onset cancer because of the vaxxes.

READ THE STUDY HERE

It will shock you to know that even at this stage, where it seems like the C0VID era is behind us…

There are still some doctors who are advocating for the jabs and are still pushing people to take that route.

The reason why these doctors continue to do this despite the obvious…is SHOCKING!

We all know that these poisonous jabs have wreaked havoc on millions of lives and have caused MILLIONS of injuries and deaths.

This is why we need to be discerning!

What used to be a haven for all is now a den of wolves.

We need to tread carefully and to take ownership of our own health because I have no doubt that this is NOT the end…

And that there’s more coming.

But by being careful and paying attention to the TRUTH…

We can save our lives and the lives of our loved ones.

To your health,

No longer want to receive these emails? Unsubscribe.
Health Secret LLC, 165 Ponce De Leon, Suite 201, San Juan Puerto Rico, 00917

Leave a Reply